CASOS CLÍNICOS

En Clínica Inboca, entendemos que detrás de cada tratamiento no solo hay una dentadura, sino una persona que busca recuperar su seguridad, su bienestar y las ganas de sonreír sin complejos. Nuestra sección de casos reales es el reflejo de nuestra pasión por la odontología de vanguardia y el compromiso absoluto con cada paciente que visita nuestras clínicas en Alicante, Elda y San Vicente.

A través de un enfoque multidisciplinar, combinamos la experiencia de nuestros especialistas con la tecnología de diagnóstico más avanzada para ofrecer soluciones que no solo buscan la belleza estética, sino una salud funcional a largo plazo. Aquí podrás explorar una selección de transformaciones reales: desde rehabilitaciones complejas con implantes hasta sutiles mejoras mediante estética dental y ortodoncia invisible.

Sonrisas Inboca

Carillas dentales

Rehabilitación dental

Ortodoncia preprotésica, aumento de dimensión vertical, blanqueamiento combinado y carillas

Carillas dentales, recontorneado gingival y blanqueamiento

Blanqueamiento y carillas dentales

Ortodoncia, blanqueamiento dental y carillas

Ortodoncia invisible, aumento de la dimensión vertical, blanqueamiento y carillas

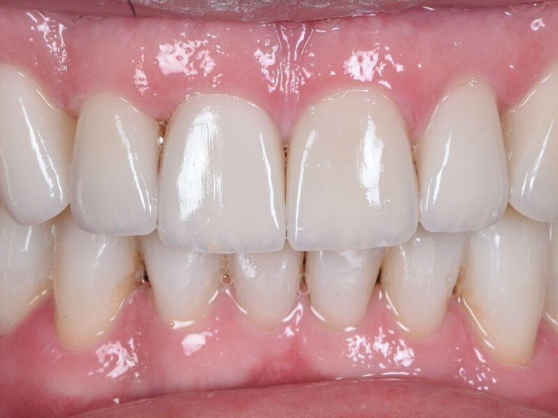
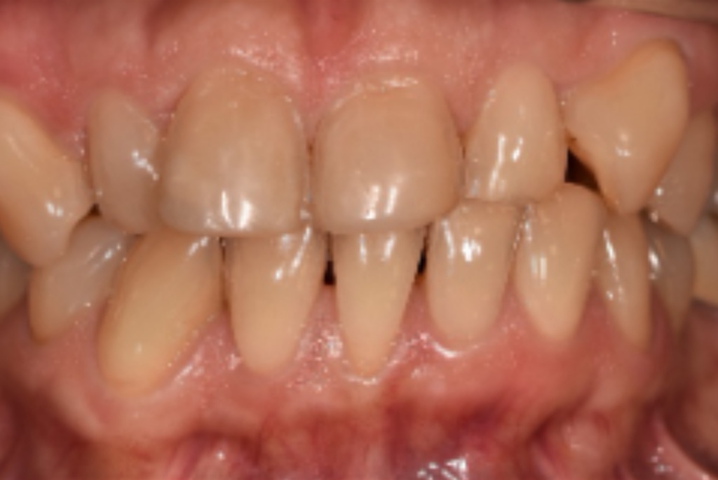
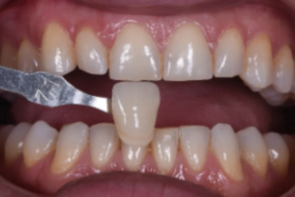
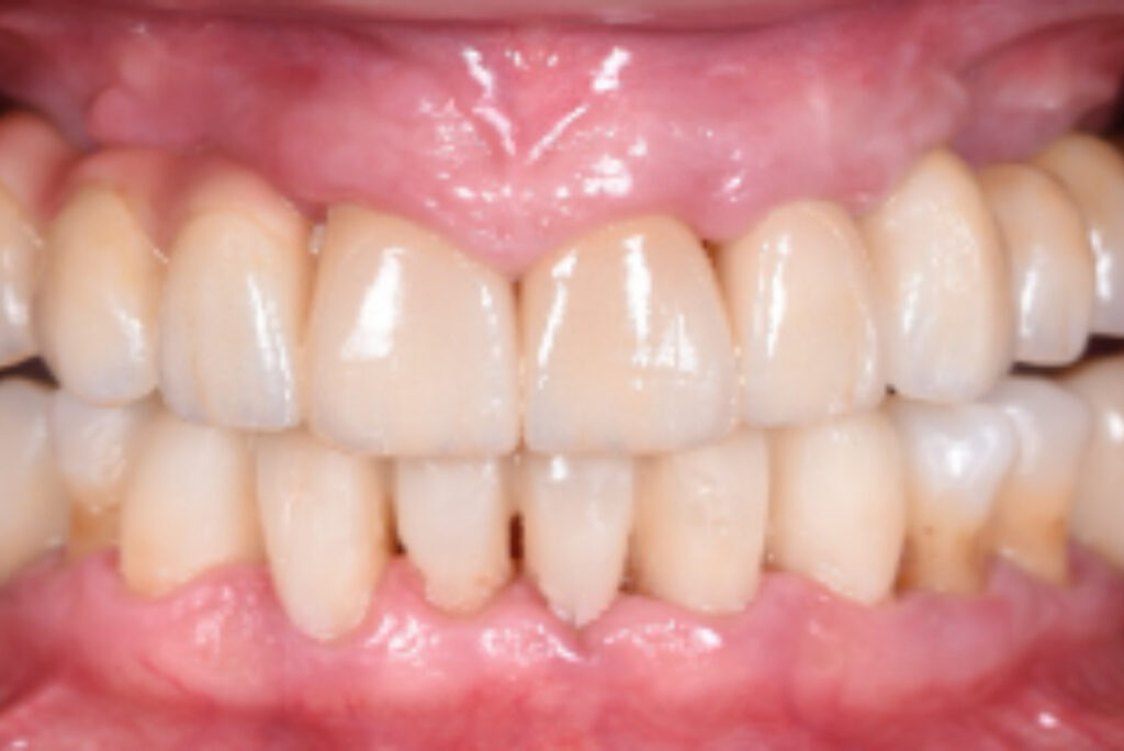
Implantes dentales, injerto de tejido conectivo, aumento de la dimensión vertical, carillas de alta naturalidad

Injerto de tejido conectivo y colgajo de avance coronal

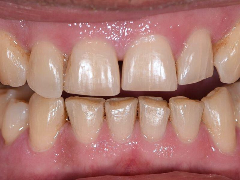
Carillas dentales y coronas en una paciente con bruxismo avanzado

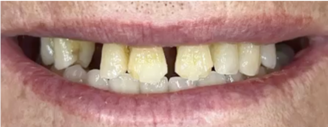
Blanqueamiento dental en paciente con tinción por tetraciclinas

Implantes dentales con cirugía guiada y carga inmediata

Ortodoncia, blanqueamiento, carillas y cirugía de alargamiento coronario

Implantes dentales con coronas y carillas

Implantes dentales de carillas de composite

Tratamiento de Ortodoncia con blanqueamiento y carillas

Tratamiento de carillas de composites para un niño que padece agenesias dentales múltiples

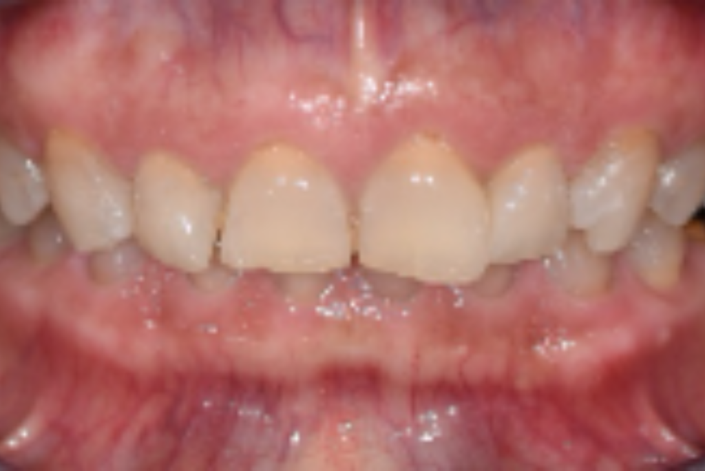
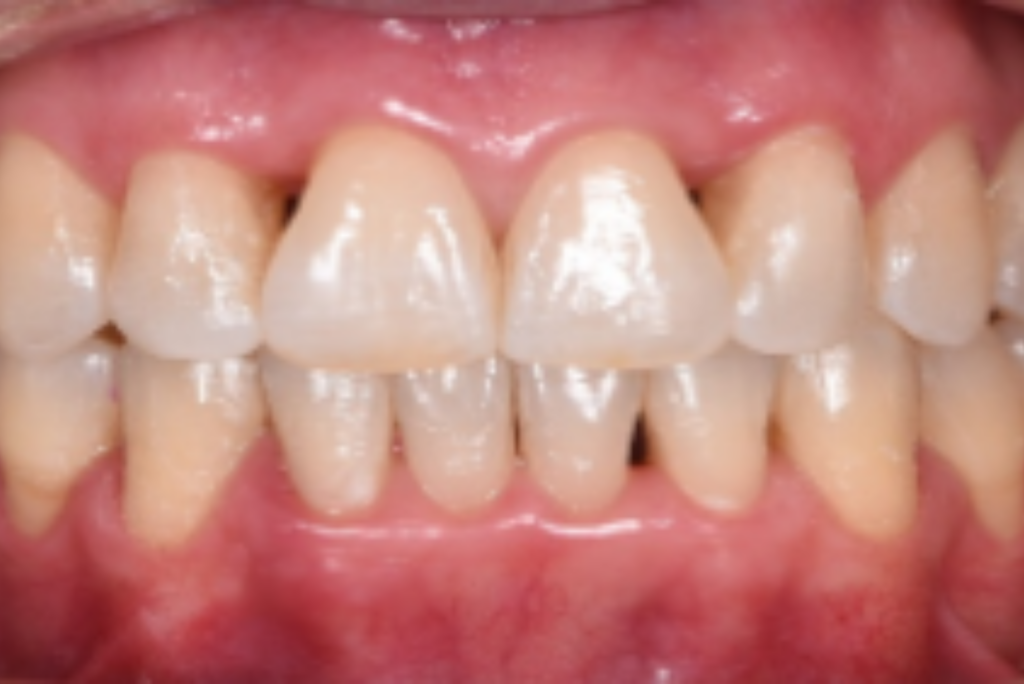
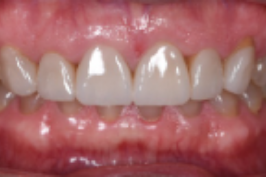
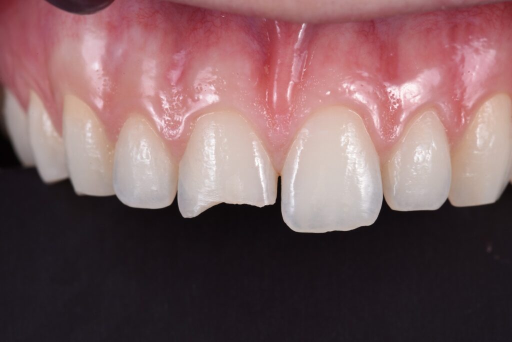
Reconstrucciones de composite de incisivo central tras traumatismo

Tratamiento dental de carillas de porcelana

Tratamiento de Ortodoncia y blanqueamiento

Tratamiento de blanqueamiento dental

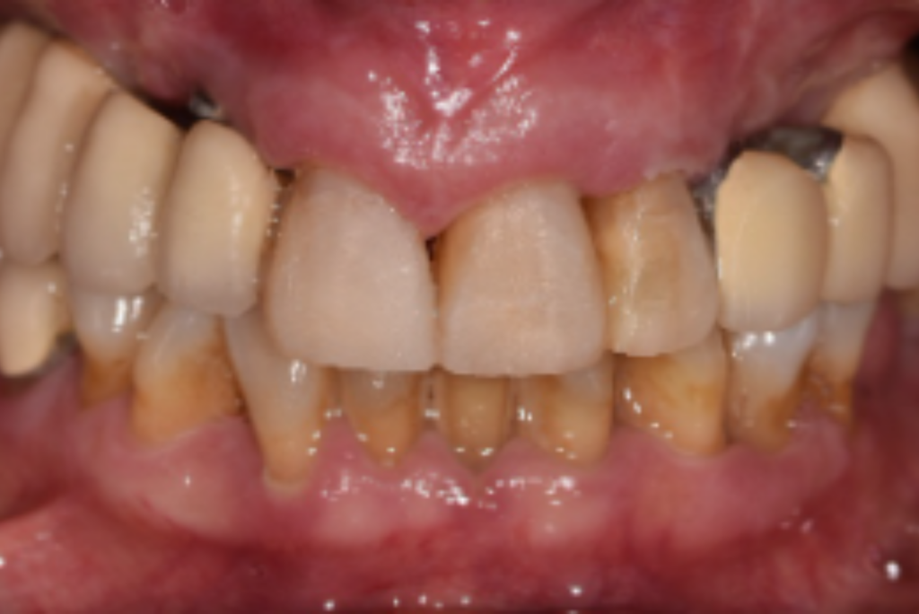
Tratamiento de implantes dentales, coronas y carillas

Pide tu cita en Inboca

Síguenos en Redes Sociales

WhatsApp
Scroll al inicio